header image

Meningeome

Meningeome

Meningeome sind häufige primäre Hirntumoren, die von den Hirnhäuten ausgehen. Ursprungszelle soll die sogenannte arachnoidale Deckzelle sein. Daher wachsen Meningeome in der Regel verdrängend und infiltrieren nur selten das Gehirn.

Einteilung
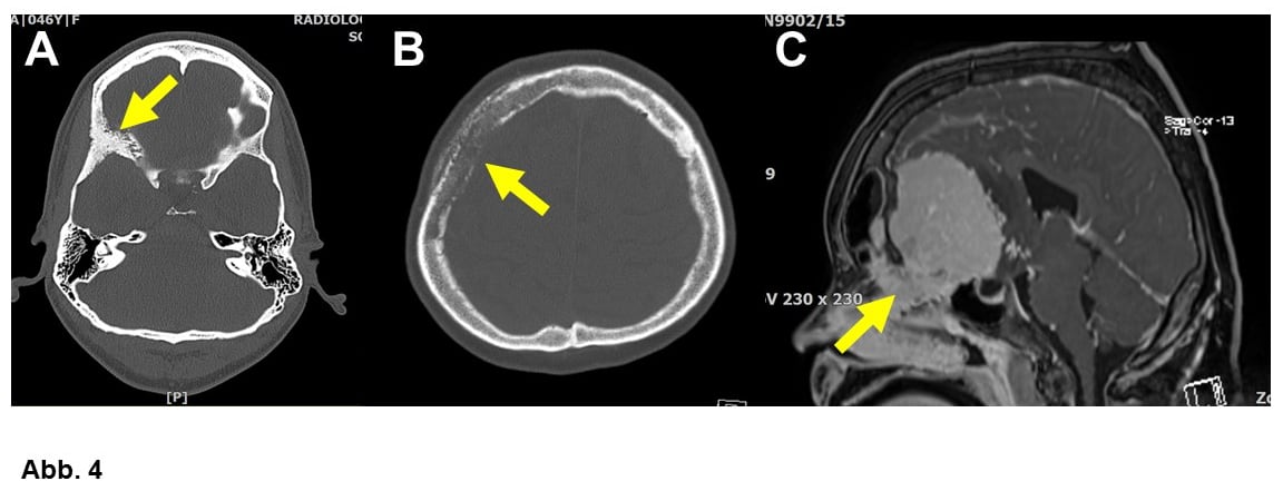
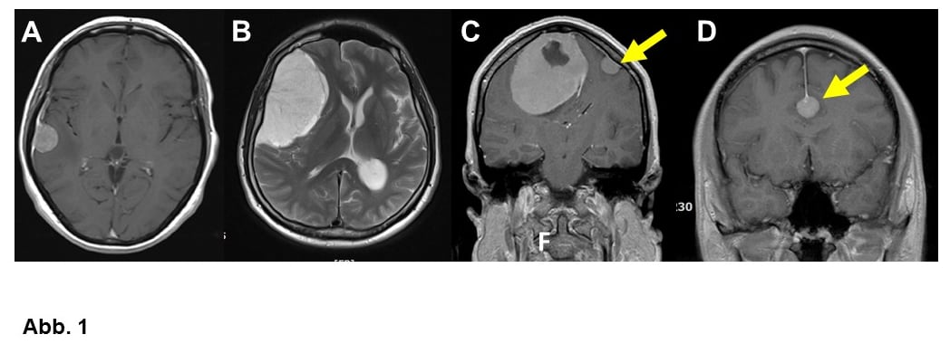
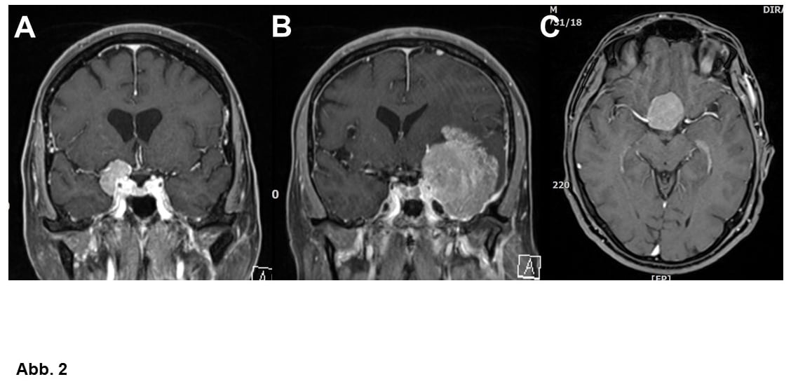
Von großer klinischer Bedeutung ist die Einteilung nach Lokalisation. Am häufigsten wachsen Meningeome ausgehend von der Hirnhaut über den Hemisphären (= Hirnhälften, Konvexitätsmeningeome, Abb. 1A-C) oder im Bereich einer bindegewebigen Sichel zwischen den Hemisphären (Falxmeningeom, Abb. 1C und D). Sogenannte Schädelbasismeningeome (Abb. 2, 3 und 4C) sind wegen ihrer Lage häufig schwieriger zu operieren als Konvexitäts- und Falxmeningeome. Meningeome können nicht nur ausgedehnt in den Hirnhäuten, sondern auch im Knochen (Abb. 4A und B) oder sogar vom Knochen ausgehend in die umgebenden Weichteile einwachsen (Abb. 4C). Meningeome im Bereich der Wirbelsäule (Abb. 5) sind seltener als im Kopf, sind aber umgekehrt häufige Tumoren im Rückenmarkskanal, wo sonst Tumoren eher selten sind. Bei bis zu 20% der Patienten liegen mehrere Meningeome vor (Abb. 1C).

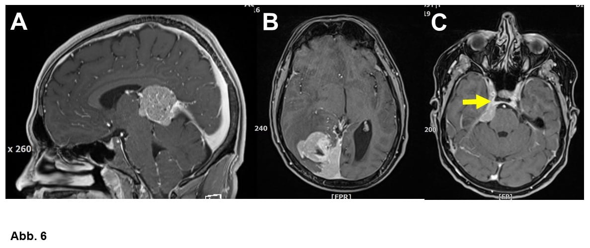
Ca. 10 bis 20% aller Meningeome wachsen überdurchschnittlich schnell bzw. häufig trotz Behandlung wieder nach. Die Neuropathologie unterscheidet zwischen den häufigen WHO-Grad I (gutartig), den selteneren WHO Grad II (Abb. 4B und 6A) und den sehr seltenen und klinisch bösartigen anaplastischen Meningeomen WHO Grad III (Abb. 6B). Es gibt verschiedene histologische Typen (= unterschiedliche Erscheinungsbilder unter dem Mikroskop), was aber meist für die Klinik keine Rolle spielt. Einige wenige Tumoren werden allerdings aufgrund ihrer Histologie den WHO Graden II oder sogar III zugeordnet.

Entstehung. Sind Meningeome vererbbar?
Meningeome treten häufiger bei Frauen als bei Männern auf, das ist bei Meningeomen der Wirbelsäule besonders auffällig (Abb. 5). Eine überzeugende Erklärung dafür gibt es nicht. Männer erkranken relativ häufiger an WHO Grad II- oder III-Tumoren (Abb. 4B, 6A und B). Ionisierende Strahlung gilt als wichtiger Risikofaktor, so haben zum Beispiel Patienten, die als Kinder bei Leukämie eine Schädelbestrahlung erhalten haben, ein vielfach erhöhtes Risiko, an einem Meningeom zu erkranken. Welche Genmutationen (Veränderungen der Erbsubstanz) zur Meningeomentstehung führen, ist derzeit Gegenstand intensiver Forschung. Es konnten bereits mehrere Meningeomgene identifiziert werden und man muß damit rechnen, dass solche Befunde zukünftig ähnlich wie bei den Gliomen für die Diagnostik und Behandlung von Meningeomen wichtig werden. Vererbt werden diese Veränderungen aber nicht.

Meningeome können im Einzelfall im Rahmen erblicher Syndrome auftreten, z.B. bei der Neurofibromatose Typ II (NF2). Die NF2-Erkrankung ist aber sehr selten. Inzwischen sind eine Vielzahl genetischer Risikofaktoren bekannt geworden, die aber jeder für sich nur einen sehr geringen Einfluss haben. Meningeome werden also nicht einfach von den Eltern auf die Kinder vererbt. Es gibt entsprechend keinen Grund, Kinder untersuchen zu lassen, bloß weil bei der Mutter (oder beim Vater) ein Meningeom festgestellt worden ist.

Symptome und Diagnostik
Manche Meningeome werden im Anschluss an einem Krampfanfall diagnostiziert (Abb. 1B), kleine Meningeome sind ein häufiger Zufallsbefund (Abb. 1D), wenn aus ganz anderen Gründen ein CCT (Computertomogramm) oder MRT (Magnetresonanztomogramm) angefertigt worden ist. Große Tumoren können auch durch neurologische Symptome wie Sprachstörung, Lähmungen (Abb. 3C), Sehstörungen oder sogar Persönlichkeitsveränderungen auffallen (Abb. 1B). Bei entsprechender Lage kann ein Meningeom auch einmal den Hirnwasserabfluss stören und zu einem Wasserkopf (Hydrocephalus) führen. Kopfschmerzen sind häufig, selten aber durch den Tumor verursacht.

Viele Meningeome kann man schon mittels CCT diagnostizieren, als Goldstandard gilt aber die MR-Tomographie. Knochenbefall (Abb. 4A und B) ist allerdings im CCT besser zu beurteilen. Manchmal hilft es bei einer Operation bzw. Operationsplanung, wenn auch eine Angiographie (Gefäßdarstellung) vorliegt, die genau die Lagebeziehungen zwischen einem Meningeom und großen Blutgefäßen bzw. die Blutflußverhältnisse zeigt.

Chirurgische Therapie
Sehr kleine, verkalkte und asymptomatische Meningeome kann man sicherlich auch beobachten. Man muss dann aber sehr aufpassen, dass man nicht im Verlauf einen viel größeren und damit schwieriger zu operierenden Tumor bei einem älteren und kränkeren Patienten mit höherem OP-Risiko vor sich hat.

Als Standardbehandlung gilt die Operation. Ziel ist die komplette Entfernung des Tumors inklusive seines Ansatzes im Bereich der Hirnhäute und eines eventuell vom Meningeom auch befallenden Knochens, wobei man natürlich das hiermit verbundene OP-Risiko gegen den Nutzen abzuwägen hat (Abb. 1-5). Deswegen ist es in manchen Fällen durchaus angebracht, ein Meningeom nicht radikal zu operieren (Abb. 6C).

Strahlen- und Chemotherapie
Letztlich sind alle Meningeome strahlensensibel, wobei aber die Strahlentherapie umso besser wirkt, je schneller der Tumor wächst bzw. umso bösartiger er ist. Deswegen sollen WHO Grad III-Meningeome alle nach der Operation bestrahlt werden (Abb. 6B). Bei WHO Grad II-Meningeomen ist die Frage der postoperativen Strahlentherapie Gegenstand von klinischen Studien. Einen auch im MRT sichtbaren Tumorrest, den man nicht operieren will oder kann, sollte man vermutlich bestrahlen (vgl. Abb. 6A). WHO Grad I-Meningeome werden in der Regel nur dann bestrahlt, wenn sie wachsen und nicht operabel sind. Kleine Tumoren oder Tumorreste können je nach Lage häufig mit sehr gutem Erfolg strahlenchirurgisch behandelt werden. Das spielt v.a. bei Schädelbasistumoren eine sehr große Rolle (Abb. 6C). 

Eine sicher wirksame Chemotherapie für Meningeome ist bisher nicht bekannt. Trotzdem bieten bzw. vermitteln natürlich viele Kliniken eine Behandlung (an), wenn ein Meningeom trotz Operation und Strahlentherapie weiterwächst.

Nachsorge
Alle Meningeompatienten sollten mehrere (z.B. >10) Jahre verlaufskontrolliert werden. Gerade bei einem größeren Tumor kann trotz des Eindrucks einer Komplettresektion ein winziger Rest übersehen worden sein, so dass auch nach vielen Jahren der Tumor doch noch nachwachsen kann.

A. Kleines Konvexitätsmeningeom bei einer 48-jährigen Frau.
B. 57-jähriger Mann mit einem großen Konvexitätsmeningeom, das mit einer milden Persönlichkeitsveränderung auffiel. Im weiteren Verlauf erlitt der Patient einen Krampfanfall.
C. 55-jährige Frau mit einem sehr großen Falxmeningeom, zusätzlich kleines Konvexitätsmeningeom auf der Gegenseite (Pfeil). Bis zu 20% aller Meningeompatienten haben mehr als einen Tumor.
D. Zufallsbefund: Kleines Meningeom am Unterrand der Falx (Pfeil) bei einem 28-jährigen Mann.

A. Schädelbasismeningeom bei einer 64-jährigen Frau. Hier muß bei der Operation v.a. auf den Sehnerven und wichtige Blutgefäße geachtet werden.
B. Ähnlich gelegenes, aber sehr viel größeres Meningeom bei einer 52-jährigen Frau. Entsprechend ist die Operation bei dieser Patientin schwieriger.
C. 43-jähriger Mann mit einem weiteren Schädelbasismeningeom.

A. Schädelbasismeningeom (65-jährige Frau) im Bereich von Kleinhirn und Hirnstamm. Der Tumor hat noch reichlich Abstand vom Hör- und Gesichtsnerven (Pfeil).
B. Ähnliche Tumorlage, größerer Tumor, ältere Patientin (85 Jahre), entsprechend schwierigere Operation.
C. 54-jährige Patientin. Der Tumor drückte auf den Hirnstamm, die Patientin hatte eine leichte Lähmung. Die Operation war in diesem Fall wegen der großen Nähe zu wichtigen Blutgefäßen und Nerven besonders schwierig.

A. Typischer Knochenbefall (Pfeil), 46-jährige Frau.
B. Konvexitätsmeningeom mit ausgedehntem Knochenbefall (69-jähriger Patient, Pfeil). Bei diesem Patienten lag ein atypisches Meningeom WHO-Grad II vor. Im Rahmen der Operation mußte der Knochen entfernt und durch ein Implantat ersetzt werden.
C. 22-jährige Patientin mit einem großen Schädelbasismeningeom, das in die Nase einwächst (Pfeil).

A. Meningeom am Hinterhauptsloch, 62-jährige Frau.
B. Meningeom im Rückenmarkskanal, 78-jährige Frau. Trotz der sehr deutlichen Verdrängung des Rückenmarks sind solche Tumoren meist gut zu operieren.

A. 20-jähriger Patient mit einem atypischen Meningeom WHO-Grad II. Hier gelang trotz der schwierigen Lage eine Komplettentfernung, so dass man auf eine Nachbestrahlung verzichten konnte.
B. Bösartiges WHO-Grad III-Meningeom bei einem 55-jährigen Mann. Hier sollte man unbedingt nach der Operation bestrahlen.
C. 69-jährige Frau mit Gesichtsschmerzen und einem WHO-Grad I-Meningeom. Die meisten Neurochirurgen würden nur einen Teil dieses Tumors entfernen und den Rest (Pfeil) oder vielleicht sogar den ganzen Tumor bestrahlen lassen bzw. radiochirurgisch behandeln.

Ansprechpartner:
Prof. Dr. med. Matthias Simon
Evangelisches Krankenhaus Bielefeld
Klinik für Neurochirurgie Bethel, Haus Gilead I
E-Mail: matthias.simon@evkb.de

Zur Übersicht