

Intraoperative Überwachung der Sprach- und Bewegungszentren des Gehirns
Um postoperative neurologische Ausfälle zu vermeiden, ist es möglich während einer neurochirurgischen Operation die einzelnen Hirnfunktionen elektrophysiologisch zu überwachen.
Dies ist insbesondere im Bereich der Sprache und des motorischen Systems wichtig.
Das freigelegte Hirn wird dazu mit sterilen Plättchen markiert. Jeder Punkt wird anschließend elektrisch stimuliert.
Im Bereich des motorischen Systems erhält man aus der Muskulatur der Extremitäten ein Signal. Mit dessen Hilfe kann während der gesamten Operation am offenen Hirn die Funktion der für die Körperbewegung wichtigen Zentren überwacht werden.
Diese Untersuchungen sind nicht schmerzhaft und mit keinen weiteren Risiken verbunden. Die gewonnene Information kann für den Ausgang einer Operation jedoch von entscheidender Bedeutung sein. Denn die Gefahr einer Verschlechterung von Sprache oder Bewegung kann mit Hilfe dieser modernsten Technik auf ein Minimum reduziert werden.


Neuronavigation
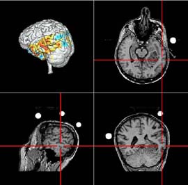
Lokalisation von anatomischen Strukturen und Funktionsbereichen
Die sogenannte „Neuronavigation“ ermöglicht die Übertragung der Struktur- und Funktionsdaten auf die für jeden Patienten individuelle Operationssituation. Sie leitet den Operateur wie Sie es vielleicht durch Satellitennavigationstechniken in modernen PKW's kennen.
So können vorab identifizierte Funktionszentren während der Operation geschont werden.
Mit Hilfe einer neuartigen Untersuchungstechnik, der sogenannten „funktionellen Kernspintomographie“, ist es möglich bereits vor der OP wichtige Bereiche wie Sprache und Bewegung auf der Hirnoberfläche zu lokalisieren.
Für die Sprache wichtige Areale werden hierbei rot dargestellt. Anhand dieser Bilder kann nun der operative Eingriff sicher geplant werden.
Ansprechpartner: Univ.-Prof. Dr. med. W. Wagner, Universitätsmedizin der Johannes Gutenberg-Universität Mainz, Neurochirurgische Klinik und Poliklinik
wolfgang.wagner2@unimedizin-mainz.de
Weitere Autoren: Prof. Dr. T. Kombos, PD Dr. O. Süss