Hirnmetastasen entstehen bei 20 bis 30 % aller Karzinompatienten mit systemischer Metastasierung. Die häufigsten Metastasen stammen vom Bronchialkarzinom mit 40 bis 60 % und vom Mammakarzinom mit 10 bis 41,5 %. Das maligne Melanom hat die höchste Prävalenz für zerebrale Metastasierung. In Autopsiestudien werden bis zu 70 % zerebrale Absiedlungen gefunden. Heute ist die Metastase der häufigste Tumor im Gehirn.
In den letzten zwei Jahrzehnten wurden bedeutende Fortschritte in der neurochirurgischen Operationstechnik erzielt. Eine der wichtigsten Neuerungen ist die Neuronavigation. Unter „Neuronavigation“ versteht man eine computergestützte Methode, mit deren Hilfe präoperativ über Magnetresonanztomographie (MRT) oder Computertomographie (CT) gewonnene Daten als „virtuelle Welt“ in die „physikalische intraoperative Welt“ übertragen werden können. Durch diese Methode ist es möglich, tief gelegene oder multiple Raumforderungen zielgerichtet aufzusuchen, d.h. den Zugangsweg sicher zu planen und so eine operationsbedingte iatrogene Schädigung zu vermeiden. Zunehmende Kenntnisse in der bildgebende Darstellung sowie elektrophysiologischen Identifizierung von Bahnsystemen haben zu einer zusätzlichen prä- und intraoperativen Sicherheit geführt.
Die Fortschritte in der neurochirurgischen Operationstechnik haben die operative Exstirpation von einzelnen, aber auch multiplen Hirnmetastasen zu einer wichtigen und effektiven Therapieform werden lassen.
Zur Therapie von Hirnmetastasen stehen heute mehrere Verfahren zur Verfügung:
- operative Exstirpation
- Radiochirurgie
- Radiotherapie (Whole Brain Radiation Therapy [WBRT])
- Chemotherapie
- supportive Maßnahmen
Hirnmetastasen treten meist im Endstadium des Metastasierungsprozesses auf. Damit ist die Lebenserwartung der Patienten in der Regel limitiert. In den letzten Jahren wurden verschiedene prognostische Faktoren erarbeitet, die neben der Bedeutung für die Überlebensprognose auch eine wichtige Rolle in der Therapieentscheidung spielen. Hierzu zählen:
- das Ausmaß der extrazerebralen Metastasierung
- die Zahl der Hirnmetastasen
- das Zeitintervall zwischen Auftreten des Primärtumors und der zerebralen Metastase
- der Karnofsky Performance Score
- das Alter
- die Histologie (1-3)
Therapie von solitären/ singulären Hirnmetastasen
Bei einer einzelnen Hirnmetastase ist es sinnvoll, die Möglichkeit einer operative Exstirpation zu prüfen. Für die Überlebenszeit ist von Bedeutung, ob es sich um eine solitäre oder um eine singuläre zerebrale Absiedlung handelt. Unter einer solitären Metastase versteht man eine einzelne Hirnmetastase bei fehlenden weiteren Absiedlungen in anderen Organen. Als singuläre Metastase ist eine einzelne Hirnmetastase definiert, bei der jedoch noch weitere Absiedlungen in extrazerebralen Organen festgestellt wurden.
1990 zeigten Patchell et al. (4) in einer prospektiv randomisierten Studie, dass durch die operative Exstirpation einer einzelnen Hirnmetastase mit anschließender Ganzhirnbestrahlung eine signifikante Verlängerung der Überlebenszeit von 3,5 Monaten unter WBRT auf 9 Monate erreicht werden konnte. In weiteren Studien wurden diese positiven Ergebnisse mit Ausnahme der Studie von Mintz, in der kein Überlebenszeitvorteil gesehen wurde, bestätigt (5 – 11).
1998 wurde eine weitere prospektiv randomisierte Studie von Patchell et al. veröffentlicht, die der wichtigen Frage nachging, ob nach vollständiger Entfernung einer zerebralen Absiedlung eine postoperative Ganzhirnbestrahlung notwendig ist (12). In dieser Studie wurde der alleinigen Operation die Operation plus WBRT gegenübergestellt. Es fand sich keine Verlängerung der medianen Überlebenszeit in der zusätzlich bestrahlten Gruppe (46 Wochen versus 48 Wochen), allerdings war die zerebrale Rezidivrate in der bestrahlten Gruppe signifikant erniedrigt. Weitere Studien werden klären müssen, ob Primärtumoren identifiziert werden können, bei denen eine adjuvante Ganzhirnbestrahlung bereits bei Erstmanifestation einer Hirnmetastase notwendig ist, und ob es auf der anderen Seite Primärtumoren gibt, bei denen auf eine WBRT nach kompletter Exstirpation der zerebralen Metastase verzichtet werden kann.
Als wesentlicher, die Therapie beeinflussender Faktor hat sich die Histologie im Zusammenhang mit der Diagnose eines kleinzelligen Bronchialkarzinoms herausgestellt. Von diesem Tumor weiß man, dass er ausgesprochen strahlen- und chemosensibel ist. Sobald die Diagnose eines solchen Tumors gesichert ist, wird man von einem operativen Vorgehen absehen und der Strahlen- bzw. Chemotherapie den Vorzug geben; es sei denn, der Tumor bedeutet durch seine Größe und seinen raumfordernden Effekt eine vitale Gefährdung für den Patienten.
Therapie der multiplen Hirnmetastasen
Bei multiplen Metastasen ist es wesentlich schwieriger, eine adäquate Therapie anzuwenden. In früheren Zeiten wurden Patienten mit multiplen Metastasen einer Ganzhirnbestrahlung oder lediglich einer supportiven Therapie zugeführt. Durch die Möglichkeit der Neuronavigation und der damit verbundenen Fähigkeit, multiple Metastasen in einer operativen Sitzung zu exstirpieren, stellt die chirurgische Therapie eine Therapiealternative dar. Heute steht neben der operativen Maßnahme als weitere fokussierte Behandlung die Radiochirurgie zur Verfügung. Durch dieses Verfahren können Metastasen während einer einzigen Bestrahlung mit dem Gamma Knife oder dem Linearbeschleuniger zielgerichtet therapiert werden. Damit unterscheiden sich letztlich die Indikationsstellungen zur Operation und Radiochirurgie kaum. Bei beiden Behandlungsformen werden gefordert:
- Karnofsky Score > 60
- Alter < 70
- Anzahl der zerebralen Metastasen 3 bis maximal 4
- stabile extrazerebrale Metastasierung.
Lediglich bei der Größe der Tumoren und der Lokalisation kommt es zu unterschiedlichen Entscheidungskriterien. Für die Radiochirurgie sollten die Raumforderungen einen Durchmesser von drei Zentimetern nicht überschreiten, während operativ alle Tumoren entfernt werden können, jedoch größer als 1 cm im Durchmesser sein sollten. Hinsichtlich der Lokalisation können durch die Radiochirurgie Tumoren in allen Regionen des Gehirns behandelt werden, während sie operativ nur dann angegangen werden sollten, wenn es durch die chirurgische Maßnahme nicht zu einer Verschlechterung des neurologischen Befundes kommen kann. Damit sind Metastasen im Hirnstamm und in den Stammganglien von einer operativen Exstirpation ausgeschlossen. Die medianen Überlebenszeiten, die durch beide Therapieformen bei einzelnen und multiplen Metastasen erzielt werden, sind vergleichbar und liegen zwischen sechs Monaten und einem Jahr, sofern die Selektionskriterien berücksichtigt werden (13 - 15). Bei multiplen Hirnmetastasen sollte, auch wenn operativ alle Raumforderungen zu entfernen sind, eine adjuvante Ganzhirnbestrahlung erfolgen.
Therapie des Hirnmetastasenrezidives
Schließlich stellt sich noch die Frage nach der Therapie des zerebralen Rezidives. Auch hier wurden Prognosefaktoren erarbeitet, welche die Entscheidung erleichtern können:
- die Operation der ersten zerebralen Metastase sollte wenigstens vier Monate zurückliegen
- der Karnofsky Score des Patienten sollte über 60 sein
- das Alter < 70.
In einer Studie von Bindal (1995) (16) konnte unter selektionierten Kriterien bei 48 Patienten nach Rezidivoperation eine mediane Überlebenszeit von nochmals 11,5 Monaten erreicht werden. Dies ist deutlich besser als die palliative Therapie, bei der die Patienten eine mediane Überlebenszeit von 2,8 Monaten aufwiesen. Sofern der Patient bereits eine Ganzhirnbestrahlung erhielt, steht diese Therapieoption nicht mehr zur Verfügung. Eine radiochirurgische Behandlung kann erneut diskutiert werden.
Chemotherapie / supportive Therapie
Eine Chemotherapie ist auf Grund der systemischen Metastasierung unbedingt zu unterstützen. In der Regel richtet sich die Wahl des Zytostatikums nach der Sensitivität des Primärtumors. Eine spezifische Chemotherapie für Hirnmetastasen steht nicht zur Verfügung (17). Patienten mit schlechtem klinischen Zustand, d.h. niedrigem Karnofsky Score und progressiver Metastasierung werden in der Regel von den oben erwähnten Therapiemaßnahmen nicht mehr profitieren können. In diesen Fällen sollte sich die Behandlung auf eine Linderung der Symptome beziehen. Diese umfasst, wenn noch möglich, eine palliative Ganzhirnbestrahlung und supportive Maßnahmen wie Corticosteroid-Medikation und Antiepileptika bei Anfällen.

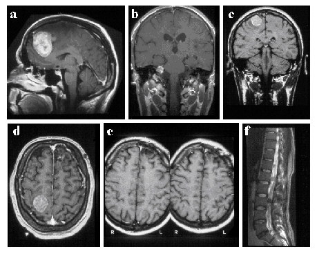
Beispiel einer interdisziplinären Therapiestrategie bei einem Patienten mit metastasierendem malignem Melanom. Ein 18jähriger junger Mann erkrankt an einem malignem Melanom am Oberschenkel. Es erfolgt die operative Exstirpation. 13 Jahre später entsteht eine frontale Hirnmetastase (a). Der Patient wird durch einen Krampfanfall auffällig. Operative Entfernung der Hirnmetastase. Postoperativ wird keine Ganzhirnbestrahlung angeschlossen. Sieben Monate später tritt eine periphere Fazialisparese rechts auf. Im MRT wird eine Metastase im Kleinhirnbrückenwinkel festgestellt (b). Es erfolgt eine radiochirurgische Therapie. Auf eine operative Therapie wird verzichtet. Ein halbes Jahr später tritt eine linksseitige Hemiparese auf. In der MRT zeigt sich rechts zentral eine erneute Metastase (c, d). Der Tumor im Kleinhirnbrückenwinkel hat nicht an Größe zugenommen. Auch links frontal im alten Operationsbereich wird ein unauffälliger Befund erhoben. Die zentrale Metastase wird operativ exstirpiert (e). Danach erfolgt eine postoperative Ganzhirnbestrahlung. Die neurologische Symptomatik bildet sich zurück. Ein halbes Jahr später stellt sich der Patient erneut mit starken Schmerzen im Lendenwirbelsäulenbereich vor. In der MRT werden nun multiple Metastasen intradural in der BWS, LWS und dem Os sacrum nachgewiesen (f). Es erfolgt eine Bestrahlung der spinalen Achse. Insgesamt überlebte der Patient zwei Jahre nach Diagnose der ersten Hirnmetastase.
Literatur:
- Lagerwaard FJ, Levendag PC, Nowak PJ, Eijkenboom WM, Hansens PE, Schmitz PI (1999)
Identification of prognostic factors in patients with brain metastases. A review of 1292 patients.
Int J Radiat Oncol Biol Phys 43: 795-803 - Nussbaum ES, Djalilian HR, Cho KH, Hall WA (1996)
Brain metastases. Histology, multiplicity, surgery, and survival.
Cancer 78: 1781-1788 - Schackert G, Sobottka SB, Steinmetz A, Kirsch M (2000)
Current treatment strategies in brain metastases.
Onkologie 23: 98-104 - Patchell RA, Tibbs PA, Walsh JM, Dempsey RJ, Maruyama Y, Kryscio RJ, Markesbery WR, Mcdonald JS, Young B (1990)
A randomized trial of surgery in the treatment of single metastases to the brain.
N Engl J Med 322: 494-500 - Mintz AH, Kestle J, Rathbone MP, Gaspar L, Hugenholtz H, Fischer B, Duncan G, Skingley P, Foster G, Levine M
A randomised trial to assess the efficacy of surgery in addition to radiotherapy in patients with single cerebral metastasis.
Cancer 78: 1470-1476, 1996 - Vecht CJ, Haaxma-Reiche H, Noordijk EM, Padberg GW, Vermolen JHC, Hoekstra FH, Tans JTJ, Lambooij N, Metsaars JAL, Wattendorff AR, Brand R, Hermans J
Treatment of single brain metastasis : radiotherapy alone or combined with neurosurgery?
Ann Neurol 33: 583-590, 1993 - Sampson JH, Carter JH, Friedman AH, Seigler HF (1998)
Demographics, prognosis, and therapy in 702 patients with brain metastases from malignant melanoma.
J Neurosurg 88: 11-20 - Schackert G, Steinmetz A, Meier U, Sobottka SB (2001)
Surgical management of single and multiple brain metastases: results of a retrospective study.
Onkologie 24: 246-255 - Wronski M, Arbit E, Burt M, Galicich JH
Survival after surgical treatment of brain metastases from lung cancer: A follow-up study of 231 patients treated between 1976-1991
J Neurosurg 83: 605-616, 1995 - Wronski M, Arbit E, Russo P, Galicich JH
Surgical resection from renal cell carcinoma in 50 patients.
Urology 47: 187-193, 1996 - Wronski M, Arbit E, McCormick B
Surgical treatment of 70 patients with brain metastases from breast carcinoma.
Cancer 80: 1746-1754, 1997 - Patchell RA, Tibbs PA, Regine WF, Dempsey RJ, Mohiuddin M, Kryscio RJ, Markesbery WR, Foon KA, Young B (1998)
Postoperative radiotherapy in the treatment of single metastases to the brain: a randomized trial.
JAMA 280 (17): 1485-1489 - Bindal RK, Sawaya R, Leavens ME, Lee JJ (1993)
Surgical treatment of multiple brain metastases.
J. Neurosurg 79: 210-216 - Engenhart R, Kimmig BN, Hover KH, Wowra B, Romahn J, Lorenz WJ, van Kaick G, Wannenmacher M
Long-term follow-up for brain metastases treated by percutaneous stereotactic single high-dose irradiation.
Cancer 71: 1353-1361, 1993 - Sneed PK, Larson DA, Wara WM
Radiotherapy for cerebral metastases.
Neurosurg Clin N Am 7: 505-515, 1996 - Bindal RK, Sawaya R, Leavens ME, Hess KR, Taylor SH
Reoperation for recurrent metastatic brain tumors.
J. Neurosurg 83: 600-604, 1995 - Lesser GL
Chemotherapy of cerebral metastases from solid tumors.
Neurosurg Clin North Am 7: 527-536, 1996
Autorin und Ansprechpartnerin: Prof. Dr. Gabriele Schackert, Klinik für Neurochirurgie, Universitätsklinikum Carl Gustav Carus der TU Dresden
Neurochirurgie@uniklinikum-dresden.de
Zur Übersicht